Teeth Whitening




About Teeth Whitening
Brighter Smile Today with
Teeth Whitening
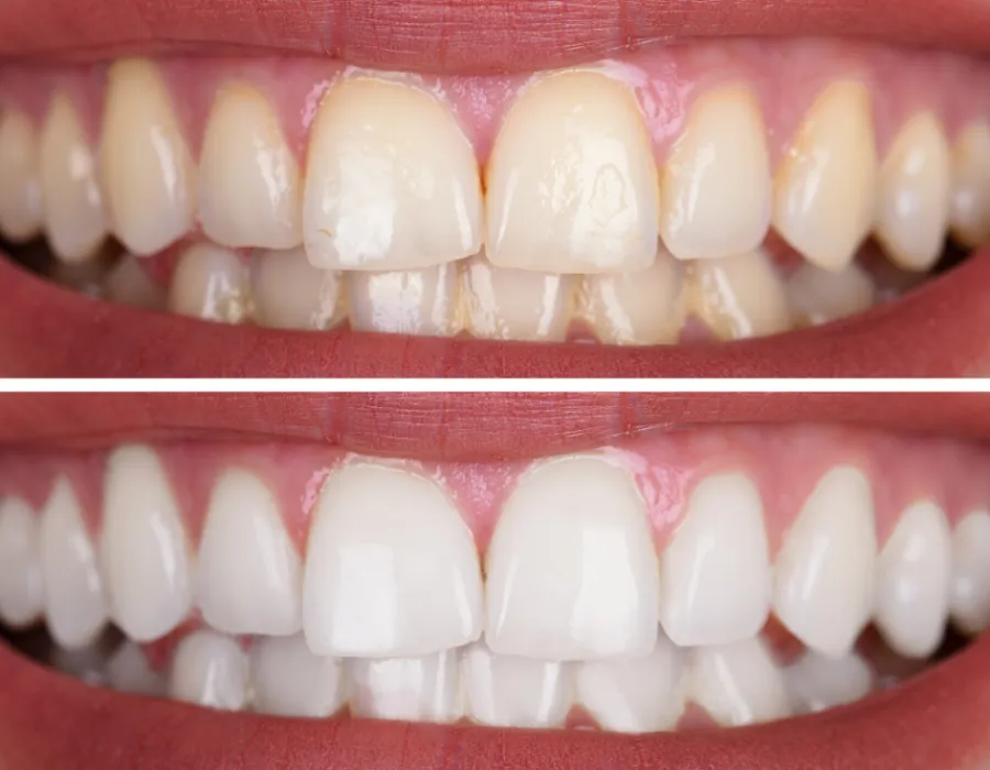
Professional teeth whitening in Islamabad at The Global Dentist helps you achieve a brighter, more confident smile with safe and effective results. Our expert dentists in G-8 Markaz Islamabad use advanced whitening technology to remove stains caused by tea, coffee, smoking, and aging. As a trusted dental clinic in Islamabad, we provide enamel-safe, pain-free whitening treatments that deliver visible results in a single session. Patients searching for a best dentist in Islamabad for teeth whitening or a cosmetic dentist near G-8 Markaz choose us for our modern techniques, personalized care, and long-lasting whitening solutions.
Located at Chohan Plaza, G-8 Markaz, Islamabad, our clinic offers high-quality teeth whitening in a comfortable and welcoming environment.
Smile Enhancement
Improving the appearance of teeth naturally.
Aesthetic Precision
Designing balanced and natural-looking smiles.
Modern Techniques
Using advanced cosmetic dental solutions.
Patient Confidence
Creating smiles that inspire self-assurance.
Book Now
Book Your Appointment
Schedule your visit in seconds. We’ll respond on WhatsApp to confirm.
About Us
At The Global Dentist, our commitment to dental excellence defines everything we do. Conveniently located at Chohan Plaza, G-8 Markaz, Islamabad, we provide high-quality dental care using advanced techniques and modern technology. Moreover, every patient receives personalized and comprehensive treatment designed to meet individual oral health needs.
Popular Sevices
Comprehensive Dental Services for Complete Care
Our dental services focus on maintaining strong teeth and healthy gums. We provide preventive and restorative care using modern techniques and patient-focused treatment plans. Moreover, every service is delivered with precision, comfort, and long-term oral health in mind.
Call Us Today for FREE Consultations
Our Team
The Heart Behind Our Care






Frequently Asked Questions
Teeth Whitening helps improve the appearance of your smile while supporting oral health. At The Global Dentist, we focus on safe, effective, and personalized teeth whitening. Below are some common questions patients ask about teeth whitening.
Yes, our teeth whitening treatments are enamel-safe and performed by experienced dentists using approved materials.
Results can last from 6 months to 2 years depending on lifestyle habits and oral hygiene.
Some patients feel mild sensitivity, but it is temporary and manageable.
A typical session takes about 45 to 60 minutes with instant visible results.
Anyone with healthy teeth and gums who wants to remove stains and brighten their smile is a suitable candidate.

